Precision in Wrist Fracture Care: Advanced Fixation with Variable Angle Volar Locking Plate

Introduction

In orthopedic trauma care, restoring both structure and function is the ultimate goal. Distal radius fractures, though common, demand precise management to ensure patients regain full mobility and strength without long-term complications.

This case demonstrates how modern fixation techniques using a Variable Angle (V.A.) Volar Locking Plate enabled a smooth and successful recovery at Hospital.

Patient Overview

A 36-year-old patient presented with wrist trauma resulting in pain, swelling, and limited mobility.

Patient Details:

  • Age: 36 years
  • Weight: 73 kg
  • Diagnosis: Distal Radius Extra-Articular Simple Fracture

Clinical Insight: Understanding the Injury

The distal radius plays a vital role in wrist mechanics and load transmission. Even extra-articular fractures, if unstable, can lead to:

  • Loss of wrist alignment
  • Reduced functional capacity
  • Chronic pain and stiffness

Given the severity and displacement, surgical intervention was essential to prevent long-term disability.

Pre-Operative Evaluation

Top Left Tray

A thorough clinical and radiological assessment revealed:

Clinical Findings

  • Swelling and tenderness over the wrist
  • Restricted range of motion
  • Visible deformity

Pre-Operative X-ray

  • Displaced distal radius fracture
  • Loss of normal anatomical alignment
  • No joint surface involvement

Surgical Strategy: Variable Angle Locking Plate Fixation

To restore anatomy and ensure stable fixation, the surgical team selected:

Volar V.A. Two-Column Distal Radius Locking Plate (Left, Standard 2.4mm–2.7mm, 4 Hole)

Top Left Tray

This advanced system allows variable angle screw placement, offering greater flexibility and precision in fracture fixation.

Implant Specifications

2.7 mm Cortex Screw

Top Left Tray

2.4 mm V.A. Locking Screw (Star Hex)

Top Left Tray

Instrumentation

V.A Distal Radius Instrument Set

Top Left Tray
Top Left Tray

Surgical Approach

The procedure was performed using a volar (palm-side) approach, known for its safety and effectiveness.

Key Highlights:

  • Accurate fracture reduction
  • Strategic plate positioning
  • Variable angle screw fixation for enhanced grip
  • Intraoperative imaging confirmation

Outcome

    Stable fixation with precise anatomical restoration

Post-Operative Outcome

The surgery was completed successfully with:

  • Excellent implant stability
  • Proper alignment of the distal radius
  • No intraoperative complications

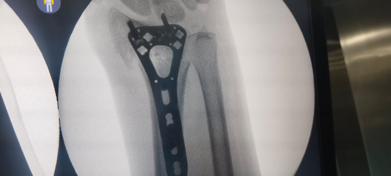
Post-Operative X-ray Findings

  • Anatomical reduction achieved
  • Correct placement of plate and screws
  • Strong and stable fixation

The patient is currently recovering well with progressive improvement in wrist function.

Rehabilitation Protocol: Structured Path to Recovery

A carefully guided rehabilitation program plays a crucial role in achieving optimal outcomes.

Phase 1: Protection Phase (0–2 Weeks)

  • Wrist immobilization in splint
  • Edema control through elevation
  • Active finger movements
  • Maintain elbow and shouder mobility

Phase 2: Early Motion (2–6 Weeks)

  • Gentle wrist mobilization
  • Forearm rotation exercises
  • Tendon gliding exercises

Phase 3: Strengthening (6–12 Weeks)

  • Grip strengthening exercises
  • Resistance band training
  • Gradual return to daily activities

Phase 4: Functional Recovery (3–6 Months)

  • Advanced strengthening
  • Functional and activity-specific training
  • Return to work and sports

Why Variable Angle Volar Plates Make a Difference

The V.A. locking plate system enhances surgical outcomes by:

  • Allowing flexible screw angulation
  • Improving fixation in complex fracture patterns
  • Providing superior stability
  • Supporting early rehabilitation

Final Perspective

Distal radius fractures require more than routine care—they demand precision, planning, and innovation. This case highlights how the integration of advanced implants and structured rehabilitation can restore not just bone integrity, but also confidence and quality of life.

  • Allowing flexible screw angulation
  • Improving fixation in complex fracture patterns
  • Providing superior stability
  • Supporting early rehabilitation

Frequently Asked Questions:

1. What is a distal radius extra-articular fracture?

A distal radius extra-articular fracture is a break near the wrist end of the radius bone that does not involve the joint surface. Although considered less complex, it can still affect wrist alignment and function if not treated properly.

2. When is surgery required for a distal radius fracture?

Surgery is recommended when:

  • The fracture is displaced or unstable
  • Proper alignment cannot be maintained with a cast
  • There is a risk of long-term functional impairment

In such cases, surgical fixation ensures better healing and outcomes.

3. What is a Variable Angle (V.A.) Volar Locking Plate?

A V.A. volar locking plate is an advanced implant used to stabilize wrist fractures. It allows surgeons to adjust the angle of screws, providing:

  • Better grip in bone
  • Customized fixation
  • Improved stability in complex fractures
4. When can I start moving my wrist after surgery?

Gentle wrist movements usually begin after 2 weeks, depending on your surgeon’s advice. Early controlled motion helps prevent stiffness and improves recovery.

5. What are the risks of not undergoing surgery?

If a significantly displaced fracture is left untreated, it may lead to:

  • Improper bone healing (malunion)
  • Chronic pain
  • Reduced wrist function
  • Weak grip strength
6. How important is physiotherapy after surgery?

Physiotherapy is crucial. It helps:

  • Restore movement
  • Improve strength
  • Prevent stiffness
  • Ensure full functional recovery
7. Is this surgery safe?

Yes, when performed by an experienced orthopedic surgeon, this procedure is safe and highly effective, with excellent success rates and predictable outcomes.